Valgus deformity of the big toe most frequently affects women of mature age, but it also affects men.A deformed base of the thumb does not look aesthetically pleasing.In this case, the person feels physical discomfort and, in the advanced phase, pain.Deviation of the big toe is the result of uneven body loading on the foot.These changes have a detrimental effect on the feet and other toes.
Causes of curvature

Hallux valgus does not occur for no apparent reason.This pathology appears and develops under the influence of a variety of reasons.Hallux valgus most frequently affects people genetically predisposed to this disease.Doctors point out the following causes of deformity of 1 toe:
- Excess body weight.
- Endocrine diseases.
- Osteoporosis.
- Flat feet.
- Diabetes mellitus.
- Psoriasis.
- Arthritis.
- Hormonal changes during pregnancy and old age.
- Wear tight shoes.
- The specificity of the profession, which forces the person to endure greater physical activity in the legs every day.
Stages and varieties
Doctors consider 3 stages of disease progression:
- Subtle valgus deviation.Redness of the skin appears, as well as small abrasions.Discomfort when walking.
- A growth is already clearly visible on the thumb.Swelling and pain are observed.
- This form of the disease is considered advanced.A person is bothered by constant, unbearable pain in the big toe and the entire foot, and the appearance of keratinized skin.The pain does not go away even during sleep.
The development of unpleasant hallux valgus is influenced by many factors.Experts have identified the following types of finger deformities as a separate category:
- Cross deformity.The curvature occurs in different directions.Fingers are crossed.
- Curvature of the joints to such an extent that they are always in a bent position.At the first stage of the development of pathology, the fingers can be forced to straighten with the help of the hands.If treatment is not started at this time, your fingers will become so stiff that you will no longer be able to straighten them with your hands.Now it is impossible to do without surgery.
- Taylor's deformity.Pathology that affects the fingers.Characterized by the appearance of a growth on the bones.
- Curvature of the phalanges, similar to hooks.

Experts include dancers at risk of developing hallux valgus.Dancing on your toes increases stress on your toes, causing them to curl.Improper gearing can also cause undesirable results.Provoking factors are aggravated even by age.
Diagnostic methods
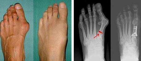
If visual examination and x-rays do not yield any results, the patient is referred for plantography to determine possible flat feet.This method consists of taking footprints, from which shoes or insoles with orthopedic properties are made for the patient.The patient is then prescribed pedometry.This method uses computer analysis to determine the pressure of a person's weight on their feet.The results of advanced diagnostics are the basis for choosing a treatment method for curvature of the first and second fingers.
The disadvantage of X-ray examination is the need to irradiate the patient's legs, which many patients do not like.They think this is too harmful a method.In this sense, effective treatment of hallux valgus cannot be started without the results of plantography.

This is the best informative diagnostic method.With its help, the doctor determines not only the presence of flat feet, but also the condition of the arches of the feet.Computer examination is the most effective way to detect flat feet.
In the first stage to identify the valgus of the big toe and little finger, the doctor performs a visual examination.In this way, it determines the stage of development of the pathology.To identify detailed changes in the joints, x-rays and plantography are prescribed.
Drug therapy
It is better to start gentle treatment of the foot, as well as the big toe, before the final stage of development of the pathology comes.Experts know how to treat this pathology, but they do not know how to cure the advanced form of the disease without surgical intervention.First, doctors determine the cause of the curvature of the fingers, as well as the presence of factors that complicate the situation.As is known, the task of pharmacotherapy includes symptomatic therapy.This means that pain, inflammation and swelling are eliminated.
Most often, patients are prescribed non-steroidal anti-inflammatory drugs.In addition to their main function, they reduce pain and fever.When complications occur, hormonal corticosteroids are often prescribed.If the deformation of the fingers is caused by diseases of the internal organs, the joints can be corrected after the underlying pathology is cured.In this case, endocrinologists intervene in the problem together with other highly specialized specialists.Many people try to cure themselves with home remedies, forgetting that this is only possible at the initial stage of the development of the pathology.
If the pathology is noticed at the initial stage, then the crooked thumb is straightened with the help of devices: plastic or silicone pads with orthopedic properties.Soft, roomy shoes should be worn during treatment.Orthotic insoles, arch supports, and other correctors are used to straighten crooked toes.Deformed fingers are fixed with special splints, rings, caps and combs.With the help of such devices, the fingers are fixed in the correct position.Thanks to orthopedic fixators, the development of further deformation of the fingers is stopped.
There are two ways to treat hallux valgus.The first is a painless correction of the deformity that does not require surgical intervention or rehabilitation, the second is treatment by surgery.
Surgical methods of treatment

Complete healing of hallux valgus is only possible with the help of a surgeon's scalpel.Sometimes a single operation is enough and the patient forgets about the problem forever.The doctor performs the surgical intervention taking into account the type of hallux valgus deformity.The most common types of operations are:
- Exostectomy.Only a certain portion of the metatarsal bone is removed.
- Resection arthroplasty.The final part of the metatarsal bone is removed.
- Osteotomy.It is used to remove the metatarsal bone, as well as a small element of the phalanx.
- Resection.The operation aims to remove the affected soft tissues and then transplant healthy tissues in their place.
- Arthrodesis.Provides forced immobility of the joints.
- Distal osteotomy.The operation consists of reducing the angle between the joints.
- Removal of the inflamed bursa of the big toe.
- Implant installation.
The rehabilitation period after surgery can last up to seven weeks.During these few weeks, special preventive measures are usually carried out.First of all, these are therapeutic exercises that favor:
- improve health status;
- reduce pain when walking;
- increase the tone of the leg muscles;
- Installation and fixing of the deformed joint in its natural position.
The length of the rehabilitation period usually depends on the complexity of the operation.To speed up recovery, you should start moving your fingers the next day.After a week, the patient can stand up and, taking precautions, move slowly.The main thing is to avoid prolonged stress.
After the operation, you will need high-quality, roomy and soft shoes.It is purchased on the recommendation of a doctor.By the way, if you start doing therapeutic exercises from the beginning of the development of hallux valgus, you will not only be able to do without surgical intervention, but also without spending money on various devices, ointments and medications.
Experts say that the surgical treatment option gives almost one hundred percent positive results.This gentle treatment method does not require anesthesia and does not cause stress or psychological distress.However, painless treatment methods cannot save a person from the last stage of the disease.
Preventive measures

Preventive measures are quite simple: wear comfortable shoes with a wide toe, the inside of which does not put pressure on the toes.The joints in particular and the feet in general are able to support the weight that has accumulated during human growth without causing damage.Therefore, it is very important to control body weight to avoid obesity.
One of the effective preventive exercises is the following: a person, sitting in a chair with his feet on the floor, moves them with his fingers.
The next exercise involves walking barefoot on the floor, alternately on your toes and heels.
Simple gymnastics are quickly mastered, which gives rise to more complex physical exercises.Then you can perform actions such as picking up a pencil or any other object from the floor.
It is better to prevent thumb deformation than to stand in line at medical institutions to receive doctor's recommendations on how to choose effective treatment.























